Segurança Compartilhar
Perigoso

Após ingerir 100 ímãs, menino perde parte do intestino

Garoto teria comprado materiais pela internet

• Atualizado

Redação

Por Redação

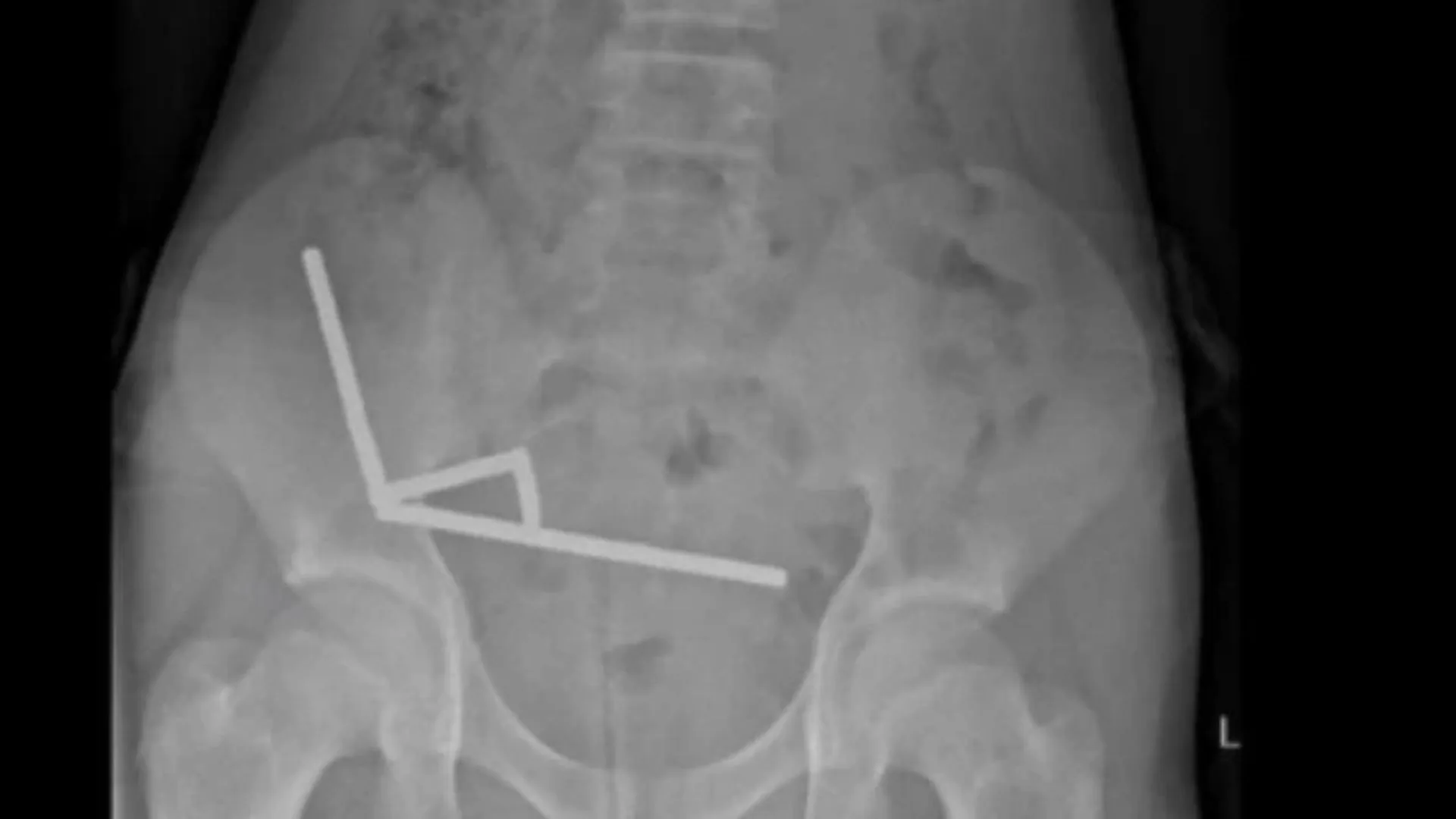
Após ingerir 100 ímãs, menino perde parte do intestino | Foto: New Zealand Medical Journal | SBT News
Após ingerir 100 ímãs, menino perde parte do intestino | Foto: New Zealand Medical Journal | SBT News

Um garoto de apenas 13 anos perdeu parte do intestino após ingerir 100 ímãs. O caso aconteceu na Nova Zelândia.

Segundo a publicação no jornal do país New Zealand Medical Journal, o garoto teria ingerido entre 80 e 100 ímãs, uma semana antes.

100 ímãs

De acordo com o menino, ele mesmo teria comprado os ímãs pela internet, de um site internacional. Os materiais ingeridos eram compostos por neodímio – extremamente magnético – e mediam cerca de cinco por dois milímetros.

Perdeu parte do intestino

O adolescente foi internado, após quatro dias de dores abdominais, e teve de passar por uma cirurgia de emergência.

Os exames feitos antes da cirurgia mostravam correntes de ímãs em partes do intestino, ligadas pela força magnética. Tal ligação resultou em um necrose por conta da pressão, e quase houve uma perfuração intestinal.

Na operação foram encontradas quatro áreas necrosadas, e parte do intestino do menino teve de ser retirado.

Pós-operação

Depois de oito dias internado, o garoto recebeu alta do hospital. Mas os especialistas alertaram que apesar do tratamento ainda há risco de obstruções intestinais e dores crônicas no futuro.

*Com informações do SBT News

>> Para mais notícias, siga o SCC10 no InstagramThreadsTwitter e Facebook.

Quer receber notícias no seu whatsapp?

EU QUERO

Ao entrar você esta ciente e de acordo com os termos de uso e privacidade do WhatsApp.

Fale Conosco
Receba NOTÍCIAS
Posso Ajudar? ×

    Este site é protegido por reCAPTCHA e Google
    Política de Privacidade e Termos de Serviço se aplicam.